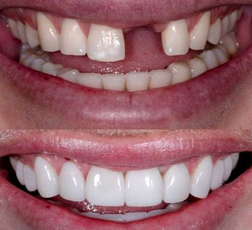
وقتی صحبت از درمانهای دندانپزشکی میشود، چیزی که بیش از هر توضیحی میتواند اعتماد ایجاد کند، مشاهده عکس قبل و بعد ایمپلنت است.
دیدن این تصاویر کمک میکند تفاوت میان لبخند قبل از درمان و نتیجه نهایی را با چشم خود ببینید.
ما اینجا انواع ایمپلنتی را که در اسمایل هوم کلینیک انجام میشود توضیح میدهیم تا هنگام مشاهده عکسها دقیقاً بدانید هر روش چه تأثیری بر زیبایی و عملکرد لبخند دارد.
گالری عکس ایمپلنت
۱. عکس ایمپلنت فوری ( image of Immediate Implant)

ایمپلنت فوری یکی از محبوبترین روشهای ایمپلنت است که در آن، پایه ایمپلنت در همان جلسهی کشیدن دندان در استخوان کاشته میشود.
این روش برای بیمارانی مناسب است که نمیخواهند جای خالی دندان ظاهرشان را تحتتأثیر قرار دهد.
ما در عکسهایی که بعداً قرار میدهیم، انتظار داریم تفاوتهای زیر کاملاً مشخص باشد:
• در تصویر «قبل»، معمولاً دندان در حال تخریب یا تازه کشیده شده دیده میشود.
• در تصویر «بعد»، ایمپلنت با روکش موقت یا نهایی، فرم طبیعی لبخند را بازسازی کرده است.
• خط لثه هماهنگتر و فرم لبخند یکدستتر میشود.
این روش معمولاً زیر نظر دکتر فرشاد بیات، متخصص جراحی فک و صورت با دقت بالا انجام میشود.
۲. عکس ایمپلنت دیجیتال ( Image of Digital Implant)

ایمپلنت دیجیتال یکی از مدرنترین روشهای کاشت دندان است که با استفاده از اسکن سهبعدی و طراحی دیجیتال انجام میشود.
این روش دقت بسیار بالایی در محل کاشت پایه دارد و نتیجه نهایی معمولاً بسیار طبیعیتر است.
در عکسهای قبل و بعد ایمپلنت دیجیتال خواهید دید:
• کاهش چشمگیر تورم و التهاب به دلیل جراحی کمتهاجمی
• قرارگیری کاملاً دقیق روکش بدون ایجاد فاصله
• لبخندی هماهنگ که از نظر خط لثه و فرم دندانها طبیعیتر دیده میشود
اگر عکس دیجیتال قرار میدهی، کنار آن میتوان اشاره کرد که «این نتیجه با هدایت جراحی دیجیتال انجام شده است.»
۳. عکس ایمپلنت فک بالا

ایمپلنتهای فک بالا معمولاً چالش بیشتری دارند زیرا تراکم استخوان این ناحیه کمتر است.
در بسیاری از موارد نیاز به لیفت سینوس یا پیوند استخوان وجود دارد.
شما در عکسهای قبل و بعد ایمپلنت فک بالا معمولاً این تغییرات را مشاهده می کنید:
• در عکس «قبل»، فرورفتگی ناحیه بیدندانی یا تحلیل لثه دیده میشود
• در عکس «بعد»، روکشهای یکدست و دقیق با ارتفاع مناسب قرار گرفتهاند
• خط لبخند بسیار زیباتر و متقارنتر شده است
در کنار عکس، میتوان توضیح داد که نتیجه با «لیفت سینوس و کاشت ایمپلنت در موقعیت صحیح» حاصل شده است.
۴. عکس ایمپلنت فک پایین

ایمپلنت فک پایین به دلیل تراکم استخوانی مناسبتر، معمولاً استحکام بالایی دارد و نتیجه نهایی بسیار طبیعی میشود.
ما در عکسهای قبل و بعد این نوع ایمپلنت، تفاوتهایی مثل زیر را خواهیم دید:
• در عکس قبل، جای خالی دندانها و نامنظمی لثه مشخص است
• در عکس بعد، روکشهای ایمپلنت کاملاً همسطح با دندانهای کناری قرار گرفتهاند
• ظاهر نهایی در هنگام لبخند بسیار طبیعی و جوانتر دیده میشود
۵. عکس ایمپلنت All-on-4 یا ایمپلنت کامل فک
این روش برای بیمارانی مناسب است که تقریباً همه دندانهای یک فک خود را از دست دادهاند.
با چهار پایه ایمپلنت، یک دست دندان کامل ثابت روی فک قرار میگیرد.
همچنین در عکسهای قبل و بعد All-on-4 معمولاً واضح است که:
• در عکس قبل، بیدندانی گسترده یا دندانهای تخریبشده دیده میشود
• در عکس بعد، یک لبخند کامل، منظم و فوقالعاده جذاب جایگزین شده است
• فرم صورت بهطور محسوس جوانتر به نظر میرسد
۶. عکس ایمپلنت بدون جراحی (Flapless)

در این روش برش لثه انجام نمیشود و جراحی با هدایت دیجیتال مستقیماً از طریق سوراخ کوچک روی لثه انجام میگیرد.
در عکسهای قبل و بعد این روش، خواهید دید:
• ظاهر لثه بسیار طبیعی باقی مانده است
• تورم و کبودی تقریباً صفر است
• ایمپلنت کاملاً دقیق در جای خود قرار گرفته است
جمعبندی
برای اینکه مقالهات جذابتر و کاربردیتر شود، کافی است بعد از هر تیتر یا هر توضیح، عکس واقعی قبل و بعد ایمپلنت را که داری قرار بدهی.
متن بالا دقیقاً طوری نوشته شده که مخاطب با دیدن تصویر، بفهمد باید دنبال چه تغییری باشد.



























